- Since no human had ever been diagnosed with this parasitic infection before, doctors had to carefully adjust their patient’s medications over several months to treat her symptoms
An Australia woman who kept returning to the hospital for a range of symptoms was shocked when doctors found a worm living in her brain.
The 64 year old lady, since 2021, was being treated by doctors with steroids and other drugs after she showed symptoms of pneumonia, abdominal pain, diarrhea, dry cough, fever and night sweats.
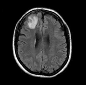
Doctors ordered an MRI scan of her brain
In 2022, she was also showing signs of depression and forgetfulness, so doctors ordered an MRI scan of her brain, which revealed abnormalities that led doctors to recommend surgery.

‘But the neurosurgeon certainly didn’t go in there thinking they would find a wriggling worm,’ Dr. Sanjaya Senanayake, an infectious disease specialist in Canberra, told the Guardian.
The worm was found and ALIVE
Senanayake was brought into the medical drama when one of the surgeons called him and said, ‘Oh my God, you wouldn’t believe what I just found in this lady’s brain — and it’s alive.’
What the surgical team found was a 3-inch-long, bright red, parasitic roundworm known to scientists as Ophidascaris robertsi living rent-free in the woman’s brain.
The strange thing about the discovery is the fact that the worm is usually found in snakes, not people.

This particular roundworm is found in carpet pythons, a large species of constrictor that’s endemic to Australia, Indonesia and Papua New Guinea.
It is the first time…
This is the first time the worm has been discovered in a human.
Doctors aren’t sure how a parasite of snakes found its way into the woman’s body.
She didn’t have any direct contact with snakes, but she lived near a lake where snakes are plentiful.
How did the worm get there?
Experts believe that the worm’s eggs might have been on some edible grasses known as New Zealand spinach that the woman collected for cooking.
Since no human had ever been diagnosed with this parasitic infection before, doctors had to carefully adjust their patient’s medications over several months to treat her symptoms.
‘That poor patient, she was so courageous and wonderful,’ Senanayake said.
‘You don’t want to be the first patient in the world with a roundworm found in pythons and we really take our hats off to her. She’s been wonderful.’
This first-of-its-kind infection highlights how diseases formerly found only in wild animals are rapidly moving into human populations.
And Ophidascaris worms are found worldwide, including in the US.
‘Of the emerging infections globally, about 75% are zoonotic, meaning there has been transmission from the animal world to the human world. This includes coronaviruses,’ said Senanayake.
‘This Ophidascaris infection does not transmit between people, so this patient’s case won’t cause a pandemic like COVID-19 or Ebola,’ he said.
‘However, the snake and parasite are found in other parts of the world, so it is likely that other cases will be recognized in coming years in other countries.’
Senanayake said: ‘Neurosurgeons regularly deal with infections in the brain, but this was a once-in-a-career finding. No one was expecting to find that.’











