Doctors have reported an astonishing case of a young woman with an enormous vagina stone nestled among her pelvic organs.
Vaginal stones
The stones are exceptionally rare – with fewer than 100 reported in recent medical literature.
They happen when stagnant urine builds up in the vagina to form hardened crystals.
Vaginal stone causes
This typically is triggered by an untreated bacterial infection.
The bugs react with chemicals in urine to create an environment that encourages the liquid to harden.
People with diseases that mean they are often bedbound are most at risk, as bacteria and urine are more likely to remain inside the vagina for longer.
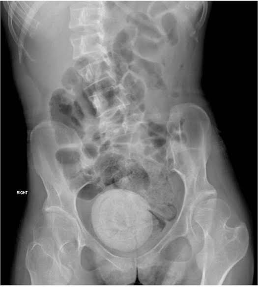
The most recent case, reported in the journal Urology Case Reports, featured a 27-year-old patient with cerebral palsy who was bedridden.


The woman visited the emergency department after developing a fever and chills that lasted three days.
She was also eating less food than usual, was vomiting and suffered severe abdominal pain.
Doctors said she looked pale and lethargic. A CT scan was performed on her abdomen and pelvis, and images showed a large, round mass in her pelvic area.
Stones in female uterus treatment
To treat the problem, the doctors – from the Lebanese University in Lebanon – used laser therapy to break up the mass.
Ultrasound shockwaves were emitted from the device to the patient’s abdomen, on the outside of the body.
Once broken into pieces, the stones were removed using forceps during a three-hour procedure.

Because the stone was so large, it was pressing against the woman’s bladder, which reduced its capacity and led to further leakage of urine.
Kidney stone
A far more common type of crystalized stone is a kidney stone: which form in a similar way to vagina stones.
Hard clumps of minerals stick together in concentrated urine, forming a stone.











